Support
This challenge is part of the 4D flow research project exclusively supported by GE Healthcare
About GE Healthcare
GE HealthCare is a trusted global healthcare solutions partner, delivering advanced technologies, pharmaceutical diagnostics, and AI-powered tools that can help make hospitals more efficient, clinicians more effective, therapies more precise, and patients healthier and happier. With over 125 years of experience, we collaborate with providers worldwide to simplify care pathways and shape the future of personalized, connected, and compassionate care.
SIGNA™ MR Solutions in GE Healthcare
EFFORTLESS IMAGING
Effortless Imaging enabled by leading AI and digital solutions We are the leader in AI-enabled MR solutions. By delivering on the promise of Effortless Imaging, we can help you enhance image quality, improve the scan experience for patients and reduce costs for providers. As AI continues to evolve, together with human intelligence, we want to help you establish MR as a virtual laboratory that enables instant diagnosis, outcome prediction and can infer cost-effective personalized care plans for all patients.
SUSTAINABLE ACCESS
Sustainable access to MR for any patient and any user As we see a global increase in demand for MRI procedures, we also see significant staff shortages, clinician burnout and a greater strain on our planet’s precious finite resources. We feel it is more important than ever before to provide sustainable and equitable access to MRI technology, for everyone.

GROUNDBREAKING DISCOVERIES
Groundbreaking discoveries and partnerships that elevate population outcomes We are helping enable groundbreaking discoveries with a wide array of research-focused MR technology. This technology is opening up research and new care pathways to better understand the world's most debilitating diseases like cancer, as well as neurodegenerative, cardiovascular and psychological diseases. We hope to empower you with ongoing partnerships and continued AI innovation to discover new biomarkers that could lead to significant breakthroughs in your understanding of disease.

Cardiovascular Imaging for SIGNA™
Wide range of MR cardiovascular imaging techniques to assess morphology, flow, function and tissue viability while adapting to a wide variety of patient types.

Cardiovascular MRI imaging applications
Access and productivity

Diagnostic confidence and consistency 
Precision and personalization 
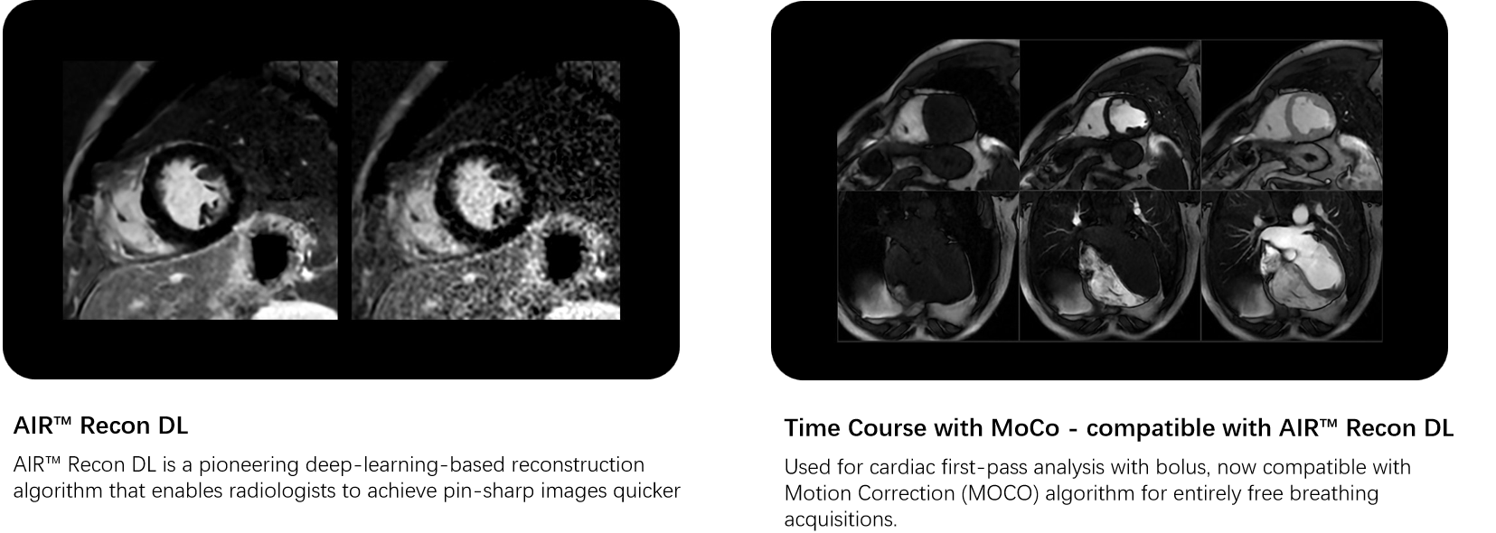
A COMPLETE CARDIAC PACKAGE
unBEATable SIGNA™ Cardiac MR Cardiac MR has been too slow, complex and inconsistent for too long1. Now with cardiac MR for SIGNA™, that’s all in the past. Experience accelerated diagnostics and crystal-clear imaging, powered by deep learning. From AI-boosted precision to lightning-fast scans, explore the seamless connection between innovation and patient-centric care..

For more information about SIGNA MR, please visit the websites: https://www.gehealthcare.com/products/magnetic-resonance-imaging#mri-systems
